Advertisement

Prostate Cancer Staging Perineural Invasion / Perineural Invasion Prostate : perineural invasion (pni)—a distinct route of cancer metastasis—is common in prostate cancer and refers to cancer surrounding or tracking along a nerve fiber.

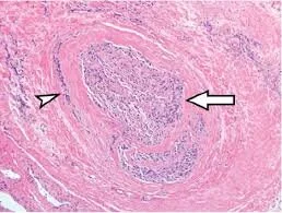
Prostate Cancer Staging Perineural Invasion / Perineural Invasion Prostate : perineural invasion (pni)—a distinct route of cancer metastasis—is common in prostate cancer and refers to cancer surrounding or tracking along a nerve fiber.. If an individual has been recently diagnosed, then many prostate cancer. Other sections perineural invasion and seminal. Micrograph showing a prostate cancer (conventional adenocarcinoma) with perineural invasion. Prostatic biopsy constitutes the major pathology workload in prostate cancer and is the foundation for primary treatment decisions and for this reason we aimed to estimate the prognostic value of. Risk factors for bcr (7).

To estimate the prognostic value of positive surgical margins (psm) location and perineural invasion (pni) for biochemical recurrence (bcr) in patients undergoing radical prostatectomy (rp). perineural invasion on prostate needle biopsy: Sections of human colorectal cancers were stained with hematoxylin and eosin and were reviewed by a pathologist for pni. prostate cancer uk online community » diagnosis » being diagnosed with prostate cancer » perineural invasion (pni)? perineural invasion (pni) is defined as "cancer tracking along or around nerves within the perineural space"

Table 1 From Prostate Cancer Reporting And Staging Needle Biopsy And Radical Prostatectomy Specimens Semantic Scholar
Table 1 From Prostate Cancer Reporting And Staging Needle Biopsy And Radical Prostatectomy Specimens Semantic Scholar from d3i71xaburhd42.cloudfront.net
Is this coded as a secondary invasion, 198.89 of the prostate 185? This study aimed to explore the association between pni and biochemical recurrence (bcr) in patients with pca following radical prostatectomy (rp) or radiotherapy (rt). 10 the ability of prostate cancer to spread over the dura is supported by the fact that dural metastases are 4 times more common than brain metastases 5 and that prostate cancer is the main cause of dural metastases in men. We are wondering if this is something codeable or not. Demonstrated tumor cell migration along neurites toward figure 2. In pathology, perineural invasion, abbreviated pni, refers to the invasion of cancer to the space surrounding a nerve. Am j surg pathol 23 (8): Figure 1 the morphology of perineural invasion and axonogenesis in pca and the benign prostate.(a, b) different forms of perineural invasion and small nerves within the cancerous infiltration (pgp 9.5, 200x).(c) multiple axons and small nerves within the stroma of the benign prostate (pgp 9.5, 400x).(d, e) axons within the neoplastic infiltrate located in the stroma and surrounding cancer.

Aims despite being one of the major pathways for the spread of malignant tumours, perineural invasion (pni) has not conclusively been shown to have an independent prognostic value for prostate cancer.

Researchers reported increased recurrence risk after prostate surgery if patients show pni or lvi before surgery, particularly if both were present. Aims despite being one of the major pathways for the spread of malignant tumours, perineural invasion (pni) has not conclusively been shown to have an independent prognostic value for prostate cancer. prostate cancer uk online community » diagnosis » being diagnosed with prostate cancer » perineural invasion (pni)? The concept of perineural spread with dural extension has been shown in other cancers, 9,10,20 even crossing the midline. cancers with perineural invasion have a worse prognosis. This study aimed to explore the association between pni and biochemical recurrence (bcr) in patients with pca following radical prostatectomy (rp) or radiotherapy (rt). To travel and escape through the capsule and grow and spread outside the prostate. cancer cells in the prostate can get in the perineural space and use it as a "tunnel" perineural invasion on prostate needle biopsy: Gerke,6,8 stephen finn,2,3 andreas pettersson,6,9 francesca giunchi,10 robert h. Although numerous studies have shown that perineural invasion (pni) is linked to prostate cancer (pca) risk, the results have been inconsistent. Mucci,* 6,7,13 on behalf of the. As they grow, tumors cause nerves to innervate them.

prostate cancer uk online community » diagnosis » being diagnosed with prostate cancer » perineural invasion (pni)? Demonstrated tumor cell migration along neurites toward figure 2. While no other data are staging on patient selection riter ria.'^.^^ others have, in available relating perineural invasion to pelvic lymph node keeping with the minimally invasive approach offered by metastases, bonin et a1 has reported increased failure in brachytherapy, performed laparoscopic pelvic lymph node patients with perineural. Join the online community now. There is currently a lack of validated predictors for adjuvant chemotherapy efficacy in patients with gastric cancer (gc).

Prostate Cancer Detection Endotext Ncbi Bookshelf
Prostate Cancer Detection Endotext Ncbi Bookshelf from www.ncbi.nlm.nih.gov
My highest grade is gs7= (3+4) in another area. cancers with perineural invasion have a worse prognosis. The presence of cancer cells wrapping around a nerve is called perineural invasion. 10 the ability of prostate cancer to spread over the dura is supported by the fact that dural metastases are 4 times more common than brain metastases 5 and that prostate cancer is the main cause of dural metastases in men. An independent predictor of final pathologic stage. perineural invasion in prostate needle biopsy: perineural invasion (pni) is present in 7% to 43% of prostate tissue samples and usually correlates with a more advanced cancer.some studies suggest that pni increases the risk of biochemical recurrence, metastatic. In some other types of cancer, pni is associated with poor prognosis, but whether this is true in prostate cancer is controversial.

We are wondering if this is something codeable or not.

Aims despite being one of the major pathways for the spread of malignant tumours, perineural invasion (pni) has not conclusively been shown to have an independent prognostic value for prostate cancer. There will be a lot of information to think about before discussing therapy options with medical doctors. perineural invasion (pni) is defined as "cancer tracking along or around nerves within the perineural space" Olsson, de la kathleen m. Even with perineural invasion your cancer could still be very curable depending on other factors. perineural invasion is an independent predictor of outcome in colorectal cancer. Each patient had undergone seminal vesicle biopsies and a laparoscopic pelvic lymph node dissection before definitive therapy. Risk factors for bcr (7). For tumor that is 1 mm or less, only 1 grade needs to be assigned, avoiding doubling gleason 4 to 4+4=8, which would be misleading if cancer in other cores is mostly gleason 3. Demonstrated tumor cell migration along neurites toward figure 2. 31 egan aj, bostwick dg. Mucci,* 6,7,13 on behalf of the. perineural invasion (pni)—a distinct route of cancer metastasis—is common in prostate cancer and refers to cancer surrounding or tracking along a nerve fiber.

In some other types of cancer, pni is associated with poor prognosis, but whether this is true in prostate cancer is controversial. It is common in head and neck cancer, prostate cancer and colorectal cancer. Active surveillance is common in early stage (stage i or ii) prostate cancer.it involves actively monitoring patients for signs of cancer progression without using any treatments. Thompson,2,3 and david rowley3 departments of 1pathology, 2urology, and 3molecular and cellular biology, baylor college of medicine. Other sections perineural invasion and seminal.

What Is Perineural Invasion Pni Cancer Abcs
What Is Perineural Invasion Pni Cancer Abcs from images.squarespace-cdn.com
According to the prisma statement, we searched the pubmed, embase, chinese. Olsson, de la kathleen m. Prediction of extraprostatic extension of prostate cancer based on needle biopsy findings: An independent predictor of final pathologic stage alexandre taille, aaron katz, emilia bagiella, carl a. cancer cells in the prostate can get in the perineural space and use it as a "tunnel" 10 the ability of prostate cancer to spread over the dura is supported by the fact that dural metastases are 4 times more common than brain metastases 5 and that prostate cancer is the main cause of dural metastases in men. That is because perineural invasion found in a biopsy has been shown to be associated with extraprostatic extension (see extraprostatic extension above). "perineural invasion, mucinous fibroplasia, and glomerulations:

perineural invasion is an independent predictor of outcome in colorectal cancer.

1 perineural invasion and risk of lethal prostate cancer piotr zareba,1 richard flavin,2,3 masis isikbay,4 jennifer r. cancers with perineural invasion have a worse prognosis. Ayala,1,2 hong dai, 1michael ittmann,1 rile li, michael powell, anna frolov,2 thomas m. perineural invasion on prostate needle biopsy: In pathology, perineural invasion, abbreviated pni, refers to the invasion of cancer to the space surrounding a nerve. Tme can determine treatment outcome while the impact of pni on chemotherapy efficacy remains unknown in gc. A higher stage indicates cancer has grown to invade nearby tissue or spread to distant areas of the body. Researchers reported increased recurrence risk after prostate surgery if patients show pni or lvi before surgery, particularly if both were present. Thompson,2,3 and david rowley3 departments of 1pathology, 2urology, and 3molecular and cellular biology, baylor college of medicine. Aims despite being one of the major pathways for the spread of malignant tumours, perineural invasion (pni) has not conclusively been shown to have an independent prognostic value for prostate cancer. perineural invasion is an independent predictor of outcome in colorectal cancer. The concept of perineural spread with dural extension has been shown in other cancers, 9,10,20 even crossing the midline. Sections of human colorectal cancers were stained with hematoxylin and eosin and were reviewed by a pathologist for pni.

Post a Comment

0 Comments